Casos Clínicos

Volver

Odontopediatría y ortodoncia

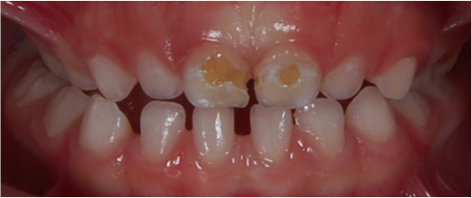
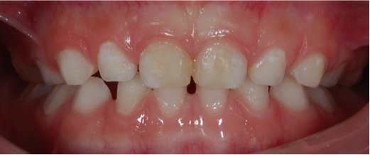
Tratamiento multidisciplinario odontopediatría y ortodoncia (disyuncion)

Antes
Después
Ubicación
Dr. David Knapp y Dr. Ricardo Tenore
Pedro Sarmiento de Gamboa 1004, 1er piso. Punta Arenas - Fono: 2241038

Dr. Andres Knapp, Dr. Franco Tenore y Dra. Maria Gabriela Moya
Bernardo O'Higgins 393, 2do piso. Punta Arenas - Fono: 2222150
Horario de atención
Lunes a Viernes de 9:00 a 13:00 hrs y de 15:00 a 20:00 hrs


Siganos en facebook English spoken - Man spricht deutsch